Visítanos! Realiza tu reserva
Calle: Gral. Saavedra 453 entre Potosí y Tarija
Reservas WhatsApp: 71691491
Telf.: 3304073
Calle: Gral. Saavedra 453 entre Potosí y Tarija
Reservas WhatsApp: 71691491
Telf.: 3304073
Es un procedimiento que cumple una importante función preventiva, relevante para evitar algunas enfermedades dentales. Básicamente la limpieza dental consiste en quitar el sarro y manchas que están en los dientes o debajo de las encías.
Es un novedoso sistema ortodóntico diseñado para alinear los dientes sin necesidad de brackets o alambres. El tratamiento emplea una serie de alineadores transparentes e invisibles los cuales son elaborados a tu medida y son removibles. Conforme se cambie de juego de aligners cada dos semanas, tus dientes se irán moviendo de forma gradual, poco a poco y semana tras semana, hasta que estén en la posición final deseada.
El objetivo del blanqueamiento dental es eliminar las manchas externas de los dientes causadas por la acción del tabaco y los pigmentos contenidos en los alimentos y bebidas a través de sustancias químicas especiales. En el esmalte existen millones de poros microscópicos que, con el tiempo, permiten el paso de compuestos orgánicos de modo que penetran en la dentina y provocan el proceso de decoloración.
Tratamiento que trata de corregir los problemas estéticos y funcionales provocados por falta o por exceso de encía. El resultado final son dientes con una apariencia estética increíblemente natural. Bien sea porque enseñas mucha encía al sonreír, la altura de los dientes es asimétrica o tus encías se han retraído, esta terapia te ofrece la mejor solución.
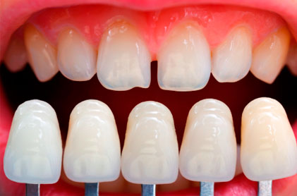
Las carillas dentales son prótesis de porcelana, láminas muy finas que se pegan en la parte más externa de los dientes, proporcionando una apariencia natural y atractiva. Se usan para corregir dientes fracturados, manchados, desalineados, desgastados, desiguales o con separación anormal mejorando así la estética y dándote una mejor sonrisa.
Gracias a las técnicas actuales, hoy es posible reemplazar una o más piezas dentales, ya sea utilizando Prótesis dentales fijas o removibles. Debes saber que ésta es una gran opción que te dará la mejor estética para tu sonrisa, te devolverá tu calidad de vida y sobre todo podrás disfrutar nuevamente de la salud que merece tu boca.
La educación infantil es indispensable para una buena higiene bucal, así como las revisiones que permiten realizar un diagnóstico precoz, que permita recurrir a tratamientos correctivos como la Ortodoncia infantil durante el desarrollo óseo y dental del niño, en el caso de que sea detectado algún desajuste en su dentición. También se incluyen tratamientos de caries y otros enfocados a la protección dental.
Un implante esta fabricado de materiales biocompatibles, por lo tanto se fusiona perfectamente con tu hueso maxilar. El procedimiento es rápido e indoloro, así la boca recupera su correcta oclusión, se normaliza la función masticadora, músculos y articulaciones vuelven a trabajar con normalidad y de manera estética. Todo ello necesario para contar con una salud equilibrada.
Es una especialidad médico-quirúrgica que aborda las enfermedades de la boca, cara, estructuras craneofaciales y problemas relacionados con ellas, sin perder de vista la vital importancia que tiene la estética en esta parte del cuerpo.